Full Mouth Dental Implants In Pune

Full-mouth dental Implants offer a permanent, life-changing solution for individuals who have lost most or all of their teeth. This advanced procedure restores your smile and your ability to chew, speak, and live confidently.

Why Do I Need Full Mouth Rehabilitation?

Caring for our teeth often means working in stages. This can mean undergoing a comprehensive range of treatments, all of which are linked together. Full mouth reconstruction or rehabilitation are terms used to describe the process of rebuilding or simultaneously restoring all of the teeth in both the upper and lower jaws. It typically involves restorative dentists (performing procedures like crowns, bridges and veneers), and can incorporate dental specialists like periodontists (specializing in the gums), oral surgeons, orthodontists (specializing in tooth movements and positions) and endodontists (specializing in the tooth pulp).

The need for full mouth reconstruction may result from

  • Teeth that have been lost due to decay or trauma.
  • Teeth that have been injured or fractured.
  • Teeth that have become severely worn as a result of long-term acid erosion (foods, beverages, acid reflux) or tooth grinding.
  • Ongoing complaints of jaw, muscle and headache pain requiring adjustments to the bite.

Why All – on – 4 at Smilex ???

We are All – On – 4 Center of Excellence

  • We are doing full mouth dental implants Since 1997.
  • We use world’s Top All -on – 4 implant Systems
  • We are team of experienced Specialists: Implant Surgeon ( 30 yrs ) Prosthodontist, CBCT radiologist, Restorative specialist and anesthetist.
  • We have success rate of 99%.
  • We do immediate Loading Same day or within 72 hours in most cases.
  • We have multiple options in prosthesis: Zirconia bridges , Malo bridges, DMLS bridges and Hybrid Titanium bridges.
  • Our team is experienced in managing international patients as we have treated patients from 25 countries.
  • We use digital CBCT, 3D intraoral Scanner for digitally planning of all cases.
  • Highly experienced Lab Technician delivers world class prosthesis.
  • We have multiple flexi payments options like EMI or dental Finance from external agencies.
Step3
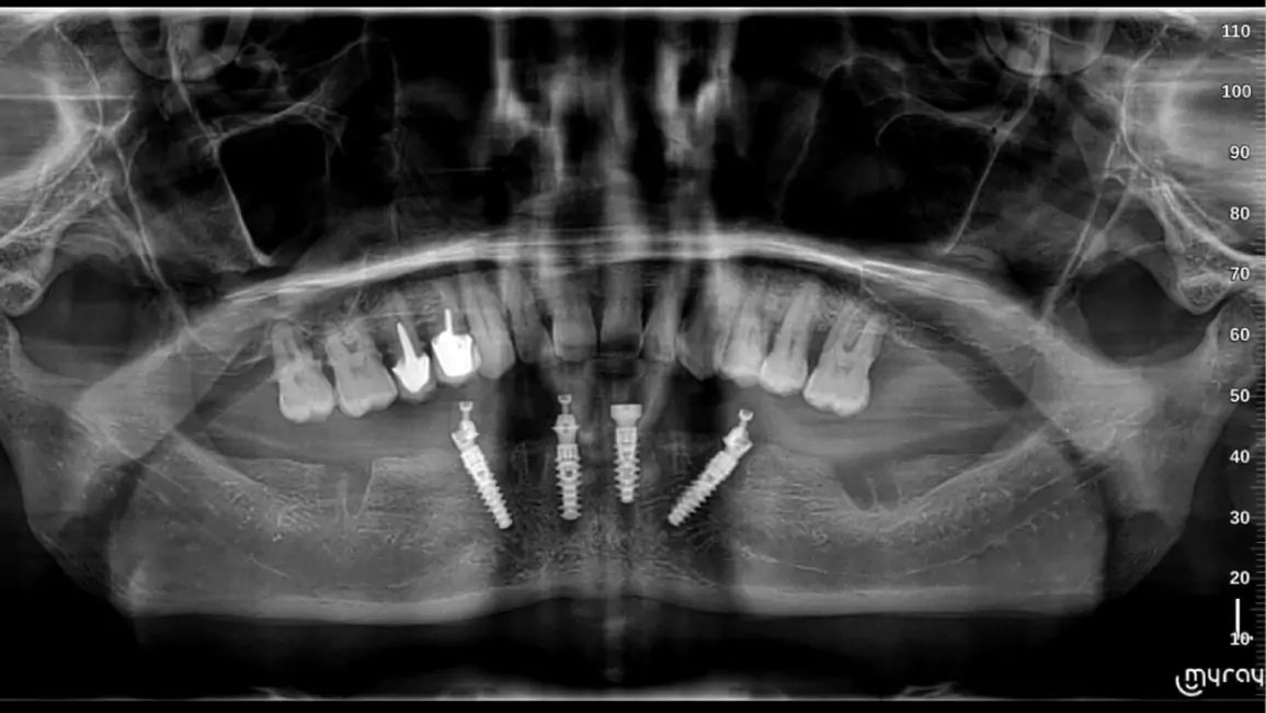
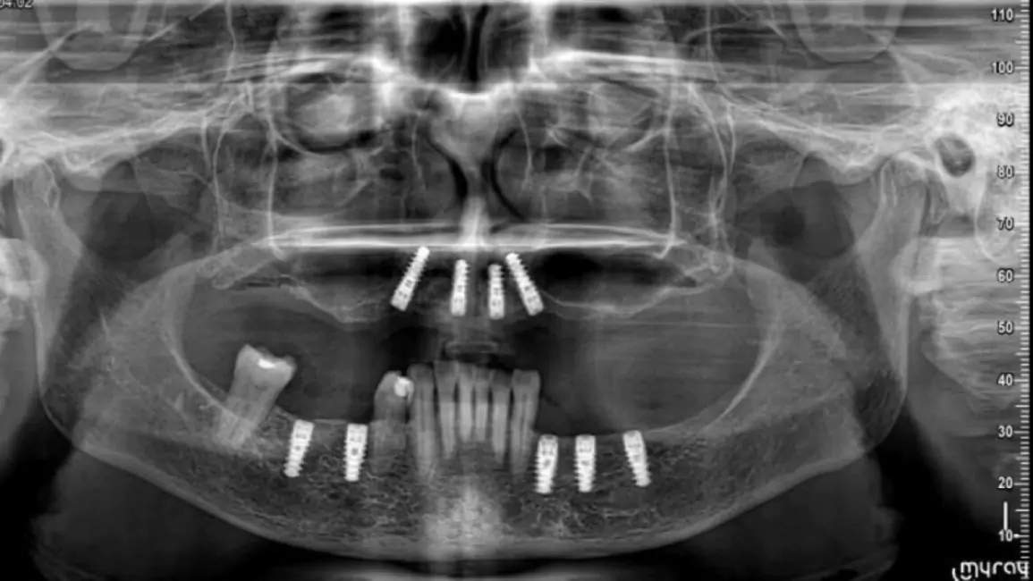
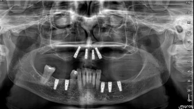
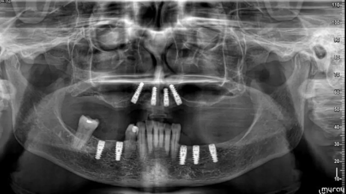
Full Mouth Dental Implants

Full Mouth Dental Implants Treatment at Smilex

At Smilex, we specialize in providing world-class Full Mouth Dental Implants Treatment in India, using cutting-edge techniques and globally trusted implant systems. Our expert implantologists assess each case with precision to create a customized treatment plan that ensures long-term success and natural aesthetics.

Whether transitioning from dentures or seeking a comprehensive solution to tooth loss, Full Mouth Implants are ideal for restoring upper and lower arches with minimal discomfort and maximum durability.

We are All-on-4 Centre of Excellence

Since year 2000 we are Centre of excellence in implantology .We have done thousands of full mouth dental implant cases in last 25 years .We have a team approach where experienced implant surgeons , prosthodontists , maxillofacial surgeons , digital restorative dentists and lab technicians work together to deliver world class fixed teeth. We use multiple implant option from case to case. Some need All-on-4, some need All-on-6 or All-on-8 in selective cases.

Advanced Dental Implant Technology

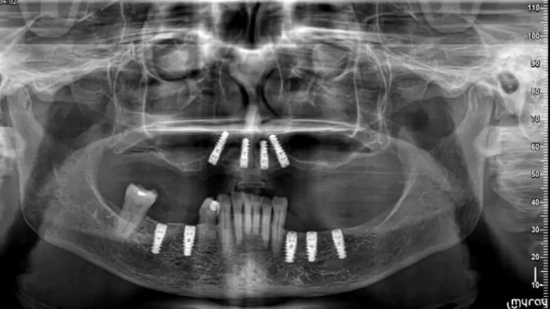
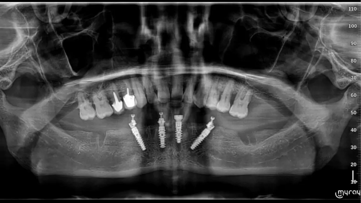
Types of Full Mouth Dental Implants

All-on-4 Implants
All-on-4 Implants

It is a revolutionary concept in which only four implants support an entire arch of teeth. It is minimally invasive and cost-effective.

All-on-6 Implants
All-on-6 Implants

It is an advanced technique in which six implants support a full arch of teeth. It ensures superior stability, durability, and improved chewing function.

Full Mouth Dental Implants Treatment in India is
Now Just a Call Away

Benefits of Full Mouth Dental Implants

  • Permanently fixed solution for total tooth loss
  • Natural look, feel, and function
  • No need for adhesives or removable dentures
  • Improved ability to chew and speak
  • Prevents further jawbone loss
  • Boosts facial aesthetics and self-confidence

What Makes You a Candidate?

  • Missing all or most teeth in one or both jaws
  • Sufficient bone density or willingness for bone grafts
  • The desire for a permanent alternative to dentures
  • Good oral and general health

Before & After Transformations

Smile Gallery

Reliable, Modern Dentistry

FAQs

How long do Full Mouth Dental Implants last?

With proper care, they can last 15–25 years or even a lifetime.

Is Full Mouth Dental Implants Treatment Painful?

With modern anaesthesia and sedation, discomfort is minimal.

Are there any food restrictions after the procedure?

A soft diet is recommended for the initial healing phase.

Is Full Mouth Dental Implants Treatment in India safe?

Yes. At Smilex, we follow global protocols and use top-quality implants.

What is the recovery time?

Initial healing takes a few days; complete osseointegration may take 3–6 months.

Are full mouth dental implants a good idea?

Full mouth dental implants are an excellent option for missing teeth in the entire mouth, or even with teeth issues with a Full Mouth Bridge. Full Mouth Dental Implants offer durability, functionality as well as a natural look.

How much does a Full Mouth Dental Implant Cost In India?

Full Mouth Dental Implant Cost In India varies based on various things such as the brands of implants used, the procedure, and the criticality of the patient as well as the prosthesis chosen by the patient. To know the exact cost, kindly book a free consultation with us.

How long do full mouth dental implants last?

A full Mouth Fixed Bridge, with proper care lasts more than 20 years, but that requires a periodical check up and it provides a long term solution for missing teeth.

What are full mouth dental implants, and how do they work?

Full Mouth Dental Implants are implants placed inside of your mouth; the implants are of Titanium, which promote Osseo integration, on the implants a fixed prosthesis is placed, giving durability, functionality and aesthetics.

What is the procedure of full mouth dental implants?

The procedure of Full Mouth Dental Implants involves, extraction of teeth or root of the existing teeth if any, CBCT Scans and X-ray, Planning of implant placement, procedure of Implant placement, healing, temporary prosthesis and then a final prosthesis restoration, giving a perfect smile, functionality and appearance.

How are dental implants replaced in the mouth?

Implants are placed based various factors, prominent being 0the bones density for implant placement, every procedure is done using the advanced technology, such as CBCT guided implant placement, while also Implant torque is considered crucial. These all things are considered to place implants strategically to support Full Mouth Teeth Replacement, for functionality, durability and aesthetics.

How much does Full Mouth Dental Implant Cost In India for a complete restoration?

The Full Mouth Dental Implant Cost In India varies case to case, depending on various factors, majorly influenced by the brand of implants used and the Bone Density, typically they start at INR5.80L for full mouth, kindly book a consultation a final estimate.

What is the full mouth dental implants cost in Pune?

The Full mouth Dental Implants cost in Pune starts for a single arch at INR2.80L, yet it still depends on the implants used and the prosthetic material used.

How much does full mouth dental implants cost in Pune for a complete set of teeth?

The Full Mouth Dental Implants Cost In Pune depends on factors like implant type and materials, starting at INR5.8 lakhs.

What is the fixed dentures cost for full mouth restoration?

The fixed dentures cost varies depending on the technique and materials, starting at approximately INR2.9 lakhs for All-on-4 procedure and may yet vary depending on the number of Implants used.

How much does fixed dentures cost for replacing missing teeth in a full mouth restoration?

The fixed dentures cost for a full arch starts from INR2.9 lakhs and varies based on the treatment approach.

What is the All on 4 dental implants cost in India for a full mouth restoration?

The All on 4 dental implants cost in India starts at INR5.8 lakhs, depending on the brand and materials used.

How much does the All on 4 dental implants cost in India for replacing a full set of teeth?

The All on 4 dental implants cost in India is INR5.8 lakhs onwards, offering a fixed and permanent solution.

What is the All-on-4 Dental Implant Cost In India for a complete mouth restoration?

The All-on-4 Dental Implant Cost In India varies based on patient needs, starting at INR5.8 lakhs.

How affordable is the All-on-4 Dental Implant Cost In India for a full mouth replacement?

The All-on-4 Dental Implant Cost In India is a cost-effective solution for full arch restoration, beginning at INR5.8 lakhs.

icon
icon
Call Now